Ästhetische Zahnheilkunde
Sind Sie mit Ihrem Lächeln nicht zufrieden? Von kleineren Verfärbungen bis hin zu dunklen Rändern an alten Kronen können viele Faktoren das eigene Wohlbefinden beeinträchtigen. Ästhetische Zahnheilkunde bedeutet für uns, dass wir für Sie sowohl funktionell als auch optisch das bestmögliche Ergebnis bei minimalen Zahnhartsubstanzverlusten erzielen möchten. In jedem Fall prüfen wir zunächst, inwieweit bereits kleinere Korrekturen einen Erfolg bringen.
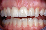
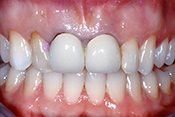
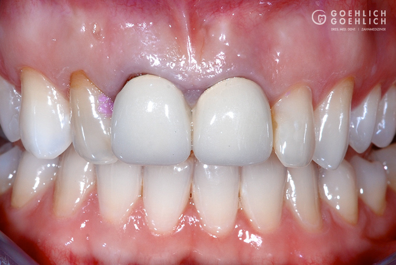
Zwei vollkeramische Frontzahnkronen (mittlere Schneidezähne) und
Zwei Veneers auf seitlichen Schneidezähnen
Wir beraten Sie hinsichtlich des Austausches alter Amalgamfüllungen und bieten Ihnen hochwertige, zahnfarbene Kunststoffe, ebenso wie metallfreie Veneers, Kronen und Brücken aus Zirkon und Keramik an.
Dunkle und wurzelkanalbehandelte Zähne können aufgehellt werden mittels Bleaching. Außerdem korrigieren wir geringe ästhetisch störende Zahnfehlstellungen mittels transparenter Schienen.
